首頁 家庭醫生

顶刊重磅!视网膜下植入芯片,失明患者重见光明(美中報道)

黄斑病变致盲是我国视力损伤的主要原因之一。

NEJM刊登最新研究显示,科学界找到方法,有望让患者“逆转视力”。

年龄相关性黄斑变性(AMD)是全球首要致盲性眼病。在我国,受其困扰的患者已超4000万。如今,这一庞大群体终于迎来了“看见”的可能。

当地时10月20日,国际顶尖医学期刊《新英格兰医学杂志》(NEJM)重磅发文,在地图样萎缩的AMD患者中,一款“仿生眼”能让完全失明者恢复视觉。81%受试者的视力显著改善,能阅文识字。

参与这项关键研究的,包括全球首家眼科医院——伦敦摩尔菲尔德眼科医院。该院眼科顾问医生Mahiul M.K.Muqit在接受媒体采访时直言“结果令人震惊”,并强调这是全球首次在AMD患者中证实仿生眼的实际功效,或将彻底改变晚期AMD的治疗格局。

“这是一个里程碑式的进步,将开启人工视觉新时代。”他的评价,为无数AMD患者带来了新希望。

今年70岁的希拉·艾文(SheilaIrvine)因AMD失明,是一名“法律意义上的盲人”。植入仿生眼后,她又能看小说、做填字游戏了。/图源:MoorfieldsEyeHospital

2小时手术,让患者“重新看见”

人类96%的视觉信息源于黄斑,这是视网膜的核心区域,因富含感光细胞,功能相当于照相机的“胶卷”,在视觉信息处理中起关键作用,能帮助我们看清细节、识别面孔、分辨颜色。

一旦黄斑发生病变,视力便会恶化:视觉中央会出现一团黑影,看到的图像可能扭曲,比如把直线看成曲线。若病情持续发展,患者甚至可能丧失视力。

复旦大学附属眼耳鼻喉科医院眼科主任医师吴联群向“医学界”介绍,地图样萎缩(GA)是AMD(年龄相关性黄斑变性)的一种类型,与年龄呈正相关,也是近年来眼科学界的研究热点。

当前,相关研究进展主要涉及植入仿生视网膜芯片、干细胞疗法、基因疗法等方向。

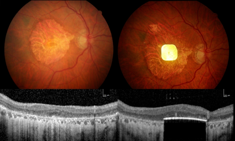
前述NEJM研究聚焦于一款名为PRIMA的仿生视网膜芯片。该芯片是一套人工视觉植入系统,包含多个组成部分。其植入流程为:眼外科医生先切除患者的玻璃体,再将一个形似SIM卡的光伏微芯片植入视网膜下方,以替代因病变受损的感光细胞。

PRIMA是一套人工视觉植入系统,植入物是一个形似SIM卡的光伏微芯片。/图源:MoorfieldsEyeHospital

这款植入物的尺寸仅为2毫米×2毫米,厚度更是只有30微米,整个植入过程约需两小时。

芯片植入后1个月会被激活。此时,患者需佩戴内置摄像头的VR眼镜,眼镜上的摄像头会自动捕捉视觉场景,并通过红外光束将图像信息投射到植入的芯片上,芯片再将相关信息传送到患者随身携带的微型处理器,通过AI算法将信息转换成电信号,最终电信号经视神经等传递至大脑,形成视觉感知。

根据NEJM内容,该研究共纳入欧洲5国、17家医院的38名晚期AMD患者,这些患者术前均已完全丧失中央视力。

吴联群在阅读文章后表示:“这个研究的入组例数很大,且患者术前视力仅为0.05、0.06,相当于连视力表上最大的那行字都看不见,裸眼接近失明状态。”

其中,32名受试者完成了为期一年的随访。结果显示,相较于术前基线值,81%的受试者视力出现显著改善——以标准视力表为参照,他们能辨认的字母数至少增加10个,另有78%的受试者能多辨认至少15个字母,效果最好的受试者甚至能多看清59个字母。

此外,研究在19名受试者中观察到26例严重不良事件,这些不良事件大多发生在术后两个月内,包括眼压增高、视网膜下出血等。不过95%的不良事件可自行缓解,或经医学干预后解决,且没有患者出现周边视力下降的情况。

GA患者要复明,有多难?

“十多年前我们参与到相关研究中,如今能取得这样的进展,是当初做梦也想不到的。”论文合著者、美国匹兹堡大学医学院眼科学教授José-Alain Sahel表示。

吴联群向“医学界”介绍,AMD主要分为干性、湿性两大类。其中湿性AMD又称新生血管性AMD,近年来已涌现出不少针对性治疗方法,不仅能改善患者视功能,还可恢复黄斑区解剖结构。相关治疗手段不断更新发展,为患者提供了更多样的干预策略。

GA(地图样萎缩)属于干性AMD,其核心发病机制是视网膜色素上皮细胞、下方血管及光感受器细胞等发生丢失,进而导致视网膜组织明显变薄或萎缩。

“这就相当于整片土壤和种子都干涸、萎缩了。”吴联群这样比喻。

迄今为止,针对GA的治疗研究除仿生眼外,还涵盖补体抑制、干细胞治疗、基因治疗等方向,治疗目标主要集中在减缓视网膜病变进展、长期保留视网膜组织及促进视网膜色素上皮细胞再生,但尚无法实现视力逆转。

吴联群解释,这与视网膜结构和成分的复杂性密切相关。视网膜由多层功能、成分各异的细胞紧密堆叠而成,每一层都在视觉功能中扮演着独特角色。

例如,由视锥细胞等构成的感光层负责接收光线、掌管精细视觉;中间处理层如同相机的初级处理器,承担着对感光层接收的信号进行初步整理、分类与加工的作用;输出层则负责将视觉信号打包,通过视神经传输至大脑。

以干细胞治疗为例,干细胞具备多向分化能力,可定向分化为类视网膜色素上皮细胞、类光感受器细胞等目标细胞。“但阻力在于,干细胞移植后的分化效率较低,且在已发生病变、类似‘盐碱地’的视网膜上难以存活。”吴联群补充道。

70岁的希拉・艾文(Sheila Irvine)参与了前文提及的NEJM研究。她确诊AMD已逾十年,目前是“法律意义上的盲人”,日常出行需借助盲杖。

“我的眼睛像被贴上了两个黑色大圆盘,只有眼角能看到一丁点光亮。”艾文告诉媒体,当她从验光师处得知PRIMA临床研究正在招募参与者时,便毫不犹豫地报名了,目的就是希望恢复视力。

“我们与入组者交流过,部分人知晓干细胞等其他实验性疗法,但大多数人的最大诉求仍是复明。”Mahiul M.K.Muqit坦言,仿生视网膜芯片或许是目前最有可能实现患者这一愿望的手段。

PRIMA系统通过视神经,将电信号直接发送到大脑。/图源:MoorfieldsEyeHospital

多国正在审批仿生眼

今年6月,PRIMA系统的研发方Science Corporation公司已向欧盟监管部门递交资料。该公司表示,这款仿生眼有望于明年在欧洲获批上市。

Mahiul M.K.Muqit认为,未来几年内,一部分英国患者应能通过医保植入该系统。目前,美国FDA针对该系统的审批程序也在推进中。

吴联群向“医学界”透露,其任职的复旦大学附属眼耳鼻喉科医院也开展了相关研究。医院联合团队已成功利用氧化钛纳米线阵列人工光感受器,在失明小鼠与非人灵长类模型上实现了视觉功能修复。相关研究文章已于2023年11月在线发表于《自然·生物医学工程》。

吴联群指出,这一进展对我国具有重要意义。

在我国,AMD(年龄相关性黄斑变性)是导致视力损伤的主要原因之一。一项覆盖1990至2019年我国视力障碍与失明人群的研究显示,由AMD引发的中至重度视力损伤人数、致盲人数分别为228万和32万。

随着社会老龄化进程加快,未来AMD带来的社会经济负担将进一步加重。

Science Corporation公司介绍,其研究团队正在开发PRIMA2.0版本。该版本将通过数字图像处理、人体工程学技术等手段,优化图像捕捉效果与视觉性能,扩大适用人群范围,帮助更多因眼病失明的患者“重见天日”。

目前,佩戴者需保持静止且高度集中注意力,才能确保图像清晰可辨。艾文向媒体表示,自己仅在家中佩戴配套VR眼镜,“摄像头每次只能对焦一两个字母,我的头必须保持绝对静止”。她还会在下巴处垫一个枕头,以稳定画面。

有分析指出,视神经受损的患者无法从这套仿生眼系统中获益。

视觉形成过程十分复杂:光线需依次经过角膜、晶状体、玻璃体到达视网膜,再由视神经将信号传导至大脑视觉中枢,最终形成图像,人才能看到事物。这一过程中,任何一个环节出现问题,都可能导致失明。

其中,视神经格外脆弱。一旦受损,其内部的神经纤维束与神经细胞可能坏死,导致神经信号传输中断。即便通过手术吻合、恢复视神经的完整形态,它也未必能与颅脑建立有效关联并传导视觉信号。

无论如何,仿生眼探索总是值得的。科学家们的目标是,让失明和近视不再令人绝望。(医学界)

分享到:
網友評論

10 條評論

所有評論
顯示更多評論

「美中報道」電子版

下載「美中報導」APP